
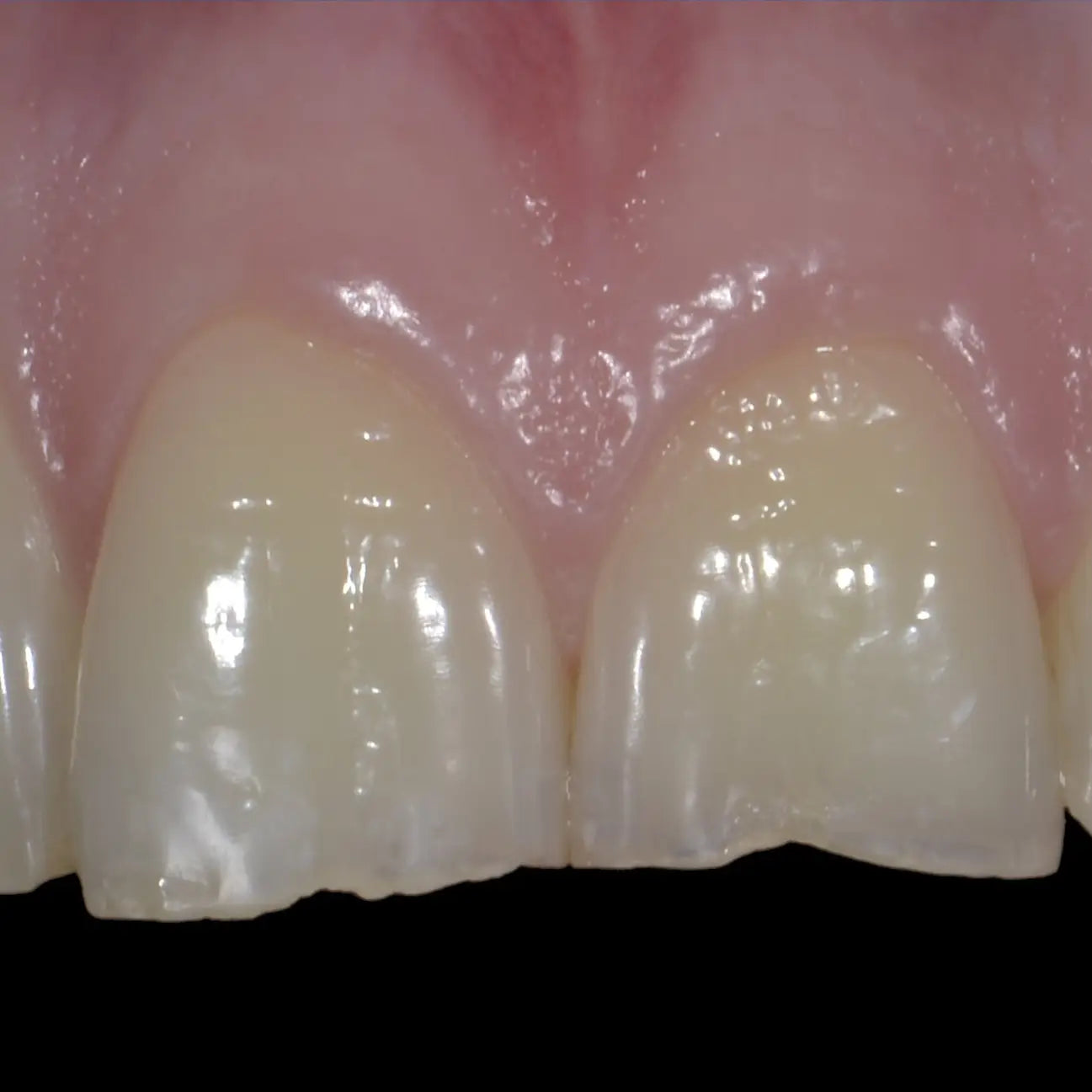
Les érosions et les usures dentaires
Les érosions et usures dentaires sont en constante augmentation dans la population, affectant des patients de plus en plus jeunes. Ces altérations progressives des tissus dentaires peuvent être d’origine chimique (érosion acide), mécanique (bruxisme, abrasion), ou multifactorielle, et ont un impact direct sur la fonction, l’esthétique et la qualité de vie du patient.
Souvent sous-diagnostiquées à leurs débuts, ces pathologies nécessitent une prise en charge précoce, globale et personnalisée. Cette formation a pour but d’apporter aux praticiens les outils nécessaires.
📢 Cette formation est agréée par l'ANDPC.
Réf. Action : 25232525004
Séance n° : 25.004
💶 Prise en charge DPC maximale 2025 : 1 540€
✅ Reste à charge pour le participant : 0 € 👉 100 % financée par le DPC
- Doctorat en chirurgie dentaire (ou étudiant en formation initiale non encore diplômé)
- Omnipraticien
- Assistantes dentaires
- Secrétaires médicales

Résumé
Date et informations pratiques
Les objectifs pédagogiques
Modalités d'évaluation
Au cours des sessions, nous nous attachons à vérifier que l’apprenant ne rencontre pas de difficultés.
Des QCM peuvent être proposés en début ou en cours de formation.
Lors des séances de travaux pratiques, l’encadrant vérifie l’évaluation des acquis.
Un certificat de réalisation est délivré à la fin de la formation.
Au cours des sessions, nous nous attachons à vérifier que l’apprenant ne rencontre pas de difficultés.
Des QCM peuvent être proposés en début ou en cours de formation.
Lors des séances de travaux pratiques, l’encadrant vérifie l’évaluation des acquis.
Un certificat de réalisation est délivré à la fin de la formation.
Les conférenciers
Découvrez ceux qui font de Clinic-All une référence en formation dentaire.
Rejoignez une formation unique









