
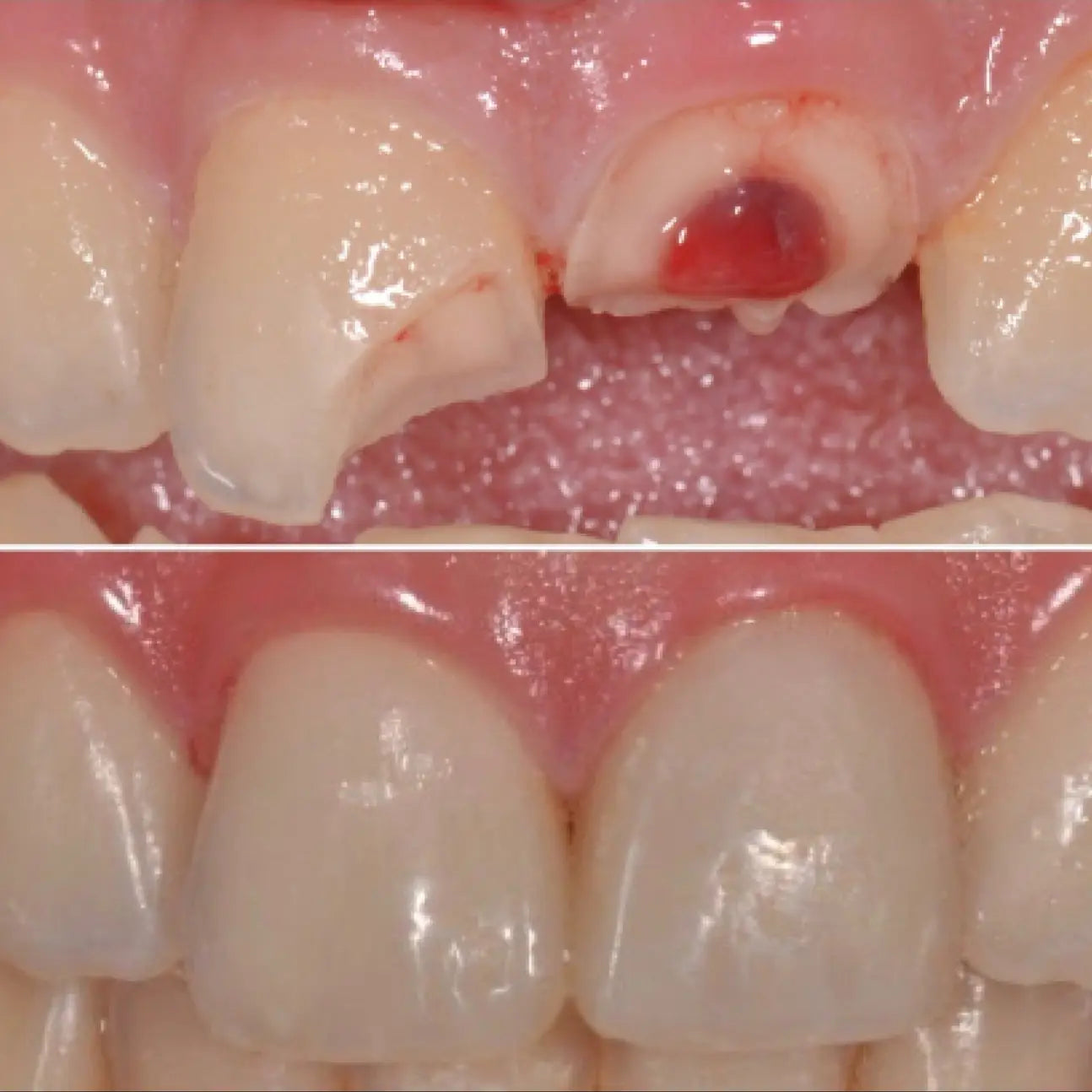
Conserver la vitalité pulpaire en omnipratique
Dans une dentisterie contemporaine centrée sur la préservation tissulaire et la biologie dentaire, conserver la vitalité pulpaire est devenu un objectif thérapeutique majeur.
Une dent vivante est non seulement plus résistante sur le plan mécanique, mais elle conserve aussi ses fonctions sensorielles, défensives et nutritives, essentielles à la longévité de l’organe dentaire.
- Doctorat en chirurgie dentaire (ou étudiant en formation initiale non encore diplômé)
- Omnipraticien
- Assistantes dentaires
- Secrétaires médicales

Résumé
Date et informations pratiques
Les objectifs pédagogiques
Modalités d'évaluation
Au cours des sessions, nous nous attachons à vérifier que l’apprenant ne rencontre pas de difficultés.
Des QCM peuvent être proposés en début ou en cours de formation.
Lors des séances de travaux pratiques, l’encadrant vérifie l’évaluation des acquis.
Un certificat de réalisation est délivré à la fin de la formation.
Au cours des sessions, nous nous attachons à vérifier que l’apprenant ne rencontre pas de difficultés.
Des QCM peuvent être proposés en début ou en cours de formation.
Lors des séances de travaux pratiques, l’encadrant vérifie l’évaluation des acquis.
Un certificat de réalisation est délivré à la fin de la formation.
Les conférenciers
Découvrez ceux qui font de Clinic-All une référence en formation dentaire.
Rejoignez une formation unique








