
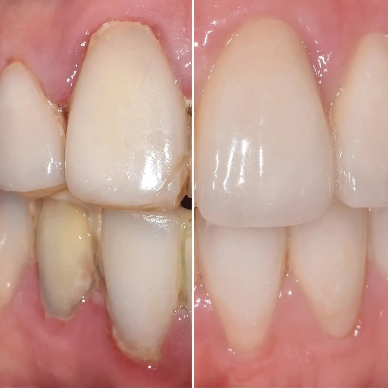
Anatomie clinique
L’anatomie clinique constitue un socle fondamental de l’exercice dentaire. Maîtriser les structures anatomiques de la tête et du cou, et particulièrement celles de la cavité buccale, des maxillaires, des nerfs et des vaisseaux, est essentiel pour poser un diagnostic précis, réaliser des actes techniques sûrs, et prévenir les complications iatrogènes.
- Doctorat en chirurgie dentaire (ou étudiant en formation initiale non encore diplômé)
- Omnipraticien
- Assistantes dentaires
- Secrétaires médicales

Résumé
Date et informations pratiques
Les objectifs pédagogiques
Modalités d'évaluation
Au cours des sessions, nous nous attachons à vérifier que l’apprenant ne rencontre pas de difficultés.
Des QCM peuvent être proposés en début ou en cours de formation.
Lors des séances de travaux pratiques, l’encadrant vérifie l’évaluation des acquis.
Un certificat de réalisation est délivré à la fin de la formation.
Au cours des sessions, nous nous attachons à vérifier que l’apprenant ne rencontre pas de difficultés.
Des QCM peuvent être proposés en début ou en cours de formation.
Lors des séances de travaux pratiques, l’encadrant vérifie l’évaluation des acquis.
Un certificat de réalisation est délivré à la fin de la formation.
Les conférenciers
Découvrez ceux qui font de Clinic-All une référence en formation dentaire.
Rejoignez une formation unique








