
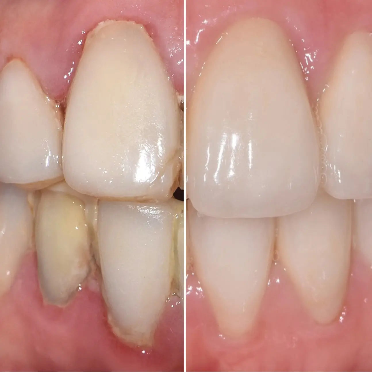
Le secteur antérieur en implantologie avancée
Le secteur antérieur représente l’un des domaines les plus exigeants en implantologie dentaire. À la croisée de l’esthétique, de la fonction et de la biologie, la réhabilitation implantaire dans cette zone frontale nécessite une expertise approfondie et une approche multidisciplinaire.
ℹ️ Implantologie de niveau II
- Doctorat en chirurgie dentaire (ou étudiant en formation initiale non encore diplômé)
- Omnipraticien
- Assistantes dentaires
- Secrétaires médicales

Résumé
Date et informations pratiques
Les objectifs pédagogiques
Modalités d'évaluation
Au cours des sessions, nous nous attachons à vérifier que l’apprenant ne rencontre pas de difficultés.
Des QCM peuvent être proposés en début ou en cours de formation.
Lors des séances de travaux pratiques, l’encadrant vérifie l’évaluation des acquis.
Un certificat de réalisation est délivré à la fin de la formation.
Au cours des sessions, nous nous attachons à vérifier que l’apprenant ne rencontre pas de difficultés.
Des QCM peuvent être proposés en début ou en cours de formation.
Lors des séances de travaux pratiques, l’encadrant vérifie l’évaluation des acquis.
Un certificat de réalisation est délivré à la fin de la formation.
Les conférenciers
Découvrez ceux qui font de Clinic-All une référence en formation dentaire.
Rejoignez une formation unique