
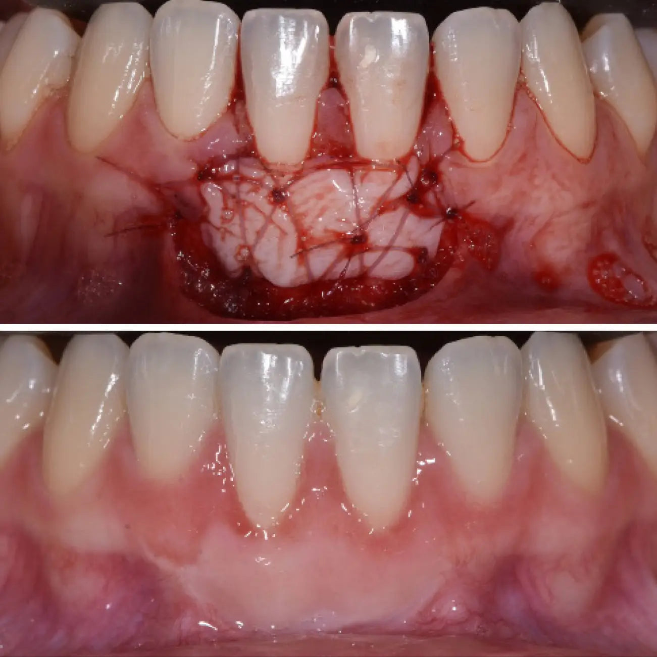
Les aspects du traitement chirurgical des défauts infra-osseux
Cette formation a pour objectif de permettre aux praticiens de comprendre l’intérêt du recours aux outils chirurgicaux dans la prise en charge de la parodontite — quand les utiliser, pourquoi et comment les intégrer efficacement au traitement.
Elle vise également à approfondir le choix des comblements et des substituts selon les indications cliniques, ainsi qu’à maîtriser les différentes incisions (m-MIST, SFA, EPP...) afin d’optimiser la cicatrisation parodontale.
- Doctorat en chirurgie dentaire (ou étudiant en formation initiale non encore diplômé)
- Omnipraticien
- Assistantes dentaires
- Secrétaires médicales

Résumé
Date et informations pratiques
Les objectifs pédagogiques
Modalités d'évaluation
Au cours des sessions, nous nous attachons à vérifier que l’apprenant ne rencontre pas de difficultés.
Des QCM peuvent être proposés en début ou en cours de formation.
Lors des séances de travaux pratiques, l’encadrant vérifie l’évaluation des acquis.
Un certificat de réalisation est délivré à la fin de la formation.
Au cours des sessions, nous nous attachons à vérifier que l’apprenant ne rencontre pas de difficultés.
Des QCM peuvent être proposés en début ou en cours de formation.
Lors des séances de travaux pratiques, l’encadrant vérifie l’évaluation des acquis.
Un certificat de réalisation est délivré à la fin de la formation.
Les conférenciers
Découvrez ceux qui font de Clinic-All une référence en formation dentaire.
Rejoignez une formation unique






