
Dermatologie buccale
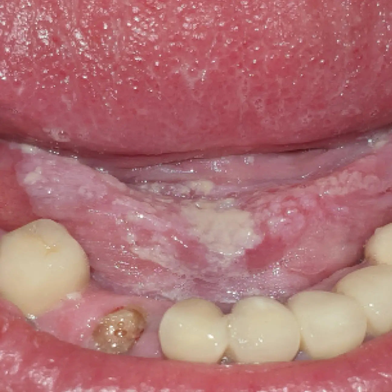
La dermatologie buccale constitue un domaine essentiel mais souvent sous-exploité de la pratique odontologique. La cavité buccale peut révéler de nombreuses lésions muqueuses , bénignes ou éventuellement malignes, d'origine locale ou systémique.
Face à la diversité des manifestations cliniques (ulcérations, leucoplasies, érythèmes, lésions pigmentées, douleurs muqueuses, etc.), le chirurgien-dentiste joue un rôle clé dans le dépistage, le diagnostic précoce et l'orientation thérapeutique .
📢 Cette formation est agréée par l'ANDPC.
Réf. Action : 25232525007
Séance n° : 25.003
💶 Prise en charge DPC maximale 2025 : 770 €
✅ Reste à charge pour le participant : 0 € 👉 100 % financée par le DPC
- Doctorat en chirurgie dentaire (ou étudiant en formation initiale non encore diplômé)
- Omnipraticien
- Assistantes dentaires
- Secrétaires médicales

Résumé
Date et informations pratiques
Les objectifs pédagogiques
Modalités d'évaluation
Au cours des sessions, nous nous attachons à vérifier que l’apprenant ne rencontre pas de difficultés.
Des QCM peuvent être proposés en début ou en cours de formation.
Lors des séances de travaux pratiques, l’encadrant vérifie l’évaluation des acquis.
Un certificat de réalisation est délivré à la fin de la formation.
Au cours des sessions, nous nous attachons à vérifier que l’apprenant ne rencontre pas de difficultés.
Des QCM peuvent être proposés en début ou en cours de formation.
Lors des séances de travaux pratiques, l’encadrant vérifie l’évaluation des acquis.
Un certificat de réalisation est délivré à la fin de la formation.
Les conférenciers
Découvrez ceux qui font de Clinic-All une référence en formation dentaire.
Rejoignez une formation unique







