Nos formations à venir

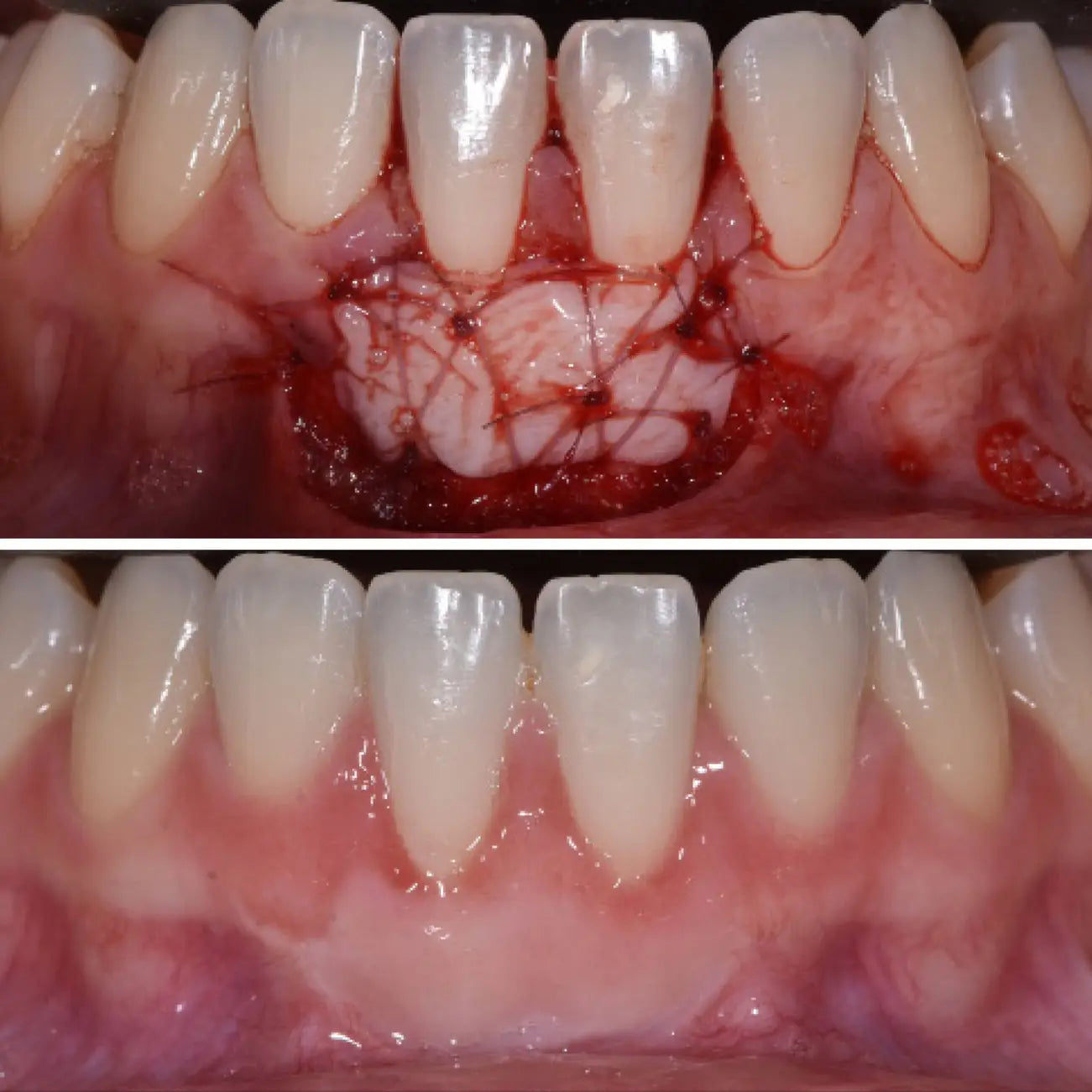
Parodontologie
À partir du 26 mars 2026

Occlusodontie
À partir du 18 mai 2026

Esthétique
À partir du 11 juin 2026

Implantologie
À partir du 18 juin 2026
15
Cycles longs
Voir tous les cycles longs
25
Journées focus
Voir toutes les journées focus
52
Conférenciers
Voir tous les conférenciersNos best-sellers
Nos conférenciers

Dr Hugues DE BELENET
Cycle restauration esthétique et focus la dent vivante.

Dr Mike COTELLE
Cycle occlusodontie.

Dr Pierre KELLER
Greffes osseuses en implantologie avancée.

Dr Mélanie GIALLO
Cycle esthétique et restauratrice.
Satisfaction de 9.1/10
Vos confrères.soeurs en parlent
J'ai aimé la qualité des cours dispensés, justement le coté clinique, applicable facilement , beaucoup d’astuces... Clinic-All, c’est une très bonne ambiance, des formateurs, des gens sympas et l’envie de revenir !
La formation est très complète et le formateur Dr Mike Cotelle est très pédagogue. Je recommande car c'est applicable tout de suite au cabinet ! J'ai adoré les travaux pratiques en groupe.
Des années que je poursuis les formations à Clinic-All, chaque année des nouveautés au rendez-vous ! les journées focus sont un vrai plus !
Excellence reconnue
Découvrez notre certification Qualiopi et nos partenaires stratégiques.










